Skip to main content
  • Home
  • About Journal
    • Aim and Scope
    • Editorial Policy
    • Peer Review Process
    • Bibliographic Listings
  • Editorial Board
  • For Authors
    • Information for Authors
    • Article Submission and Charges
    • Submit Article
    • Downloads
  • Contact Us
Pharmacognosy Journal
An Open Access, Peer Reviewed Journal in the field of
Pharmacognosy

Search form

Pharmacognosy Journal
  • Articles In Press
  • Current Issue
  • Archives
  • RSS Feeds
  • Submit Article
  • Pharmacognostic Authentication and Phytochemical Profiling Coupled with...
  • Antioxidant and Neuroprotective Potential of Ashwagandha In Aluminum-Induced...
  • Effect of Components of Gamma Oryzanol on Toll-Like Receptor 4: Receptor...
  • Preclinical Safety Assessment of a Polyherbal Formulation: Acute, Subchronic,...
  • Synergistic antioxidant and antidiabetic activities of Tinospora cordifolia and...
  • Abelmoschus esculentus Ameliorates Stress-Induced Cognitive Dysfunction via...
  • Integration of Analytical and Computational Techniques for Bioactive Profiling...
  • Cytotoxic Effects of Imperata cylindrica Root Ethanol Extract on the Expression...
  • Therapeutic Effects of Combined Zinc and α-Tocopherol Administration in a Rat...
  • A Study on Arsenic and Arsenic-Containing Mineral Medicines Referenced in...
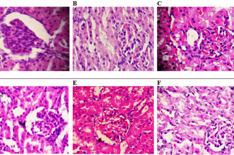
  • Protective Role of Centella asiatica Extract Against Carbon Tetrachloride–...
  • Ultrasonographic and Biochemical Evaluation of the Hepatoprotective Effect of...
  • Hepatoprotective Potential of Coffea arabica Extract Against Carbon...
  • Microscopic Standardization and Bioactive Profiling of Cissampelos pareira Roots
  • Cytotoxic Activity of Annona Muricata L, Momordica Charantia L. and Launaea...
  • Phytochemical Profile and Bioactivity of Dioscorea transversa R. Br:...
  • The Effectiveness of Beltfish (Trichiurus lepturus) Protein Intake and Physical...
  • Designing, Developing and Deploying Smart Nutrition Education Intervention to...
  • The role of TNF-Alpha, IL-6, Adiponectin, and Leptin in Inflammation and...
  • Quantification of Phenolics, Flavonoids, and In Vitro Antioxidant Activity in...
  • Proliferative effect of Dracontium spruceanum on Leishmania
  • Characterization of Green Synthesized Silver Nanoparticles from Clerodendrum...
  • Ethnomedicinal survey, phytochemical, isolation and identification of bioactive...
Recent articles

Pharmacognosy Journal
Volume 17, Issue 6, Nov-Dec, 2025

TLC plates of E. elephantina rhizome n- hexane fraction. Fractions 16-31, 32-40 and 41-44 collected from the silica column chromatography were spotted the on-TLC plate and developed with an n-hexane: ethyl acetate (8:2) solvent system. (A) A reference TLC plate viewed under UV366 nm. The arrow indicates the area of interest. (B) The TLC plate was sprayed with S. aureus. Arrows indicate clear zones or inhibition zones
Ethnomedicinal survey, phytochemical, isolation and identification of bioactive compounds from Elephantorrhiza elephantina, Pentanisia prunelloides and Dioscorea sylvatica used in the treatment of elephantiasis
Feb 2, 2026 - 03:22
A) SEM, (B) FESEM micrograph, and (C) particle size distribution histogram of biosynthesized silver nanoparticles
Characterization of Green Synthesized Silver Nanoparticles from Clerodendrum thomsoniae Balf.f., and Their Antioxidant and Anti inflammatory Potential
Feb 2, 2026 - 03:28
Proliferative effect of Dracontium spruceanum on Leishmania
Proliferative effect of Dracontium spruceanum on Leishmania
Feb 2, 2026 - 03:36
Results of identification of phenolic chemical compound groups in breadfruit leaf extract and rosella flower extract using TLC. (A) breadfruit leaf extract, (B) rosella flower extract, (C) DE1C, (D) DE2C, (E) DE3C, (F) gallic acid standard.
Quantification of Phenolics, Flavonoids, and In Vitro Antioxidant Activity in Rosella and Breadfruit Leaf Extracts
Feb 2, 2026 - 03:42
Metabolic Hormones in Type 2 Diabetes Mellitus Patients
The role of TNF-Alpha, IL-6, Adiponectin, and Leptin in Inflammation and Metabolic Dysregulation in Type 2 Diabetes Mellitus
Feb 2, 2026 - 10:27
Steps of data collection through digital platform
Designing, Developing and Deploying Smart Nutrition Education Intervention to Promote Nutrition Related Knowledge among School Children: A Cluster Randomized Control Trial
Feb 2, 2026 - 10:38
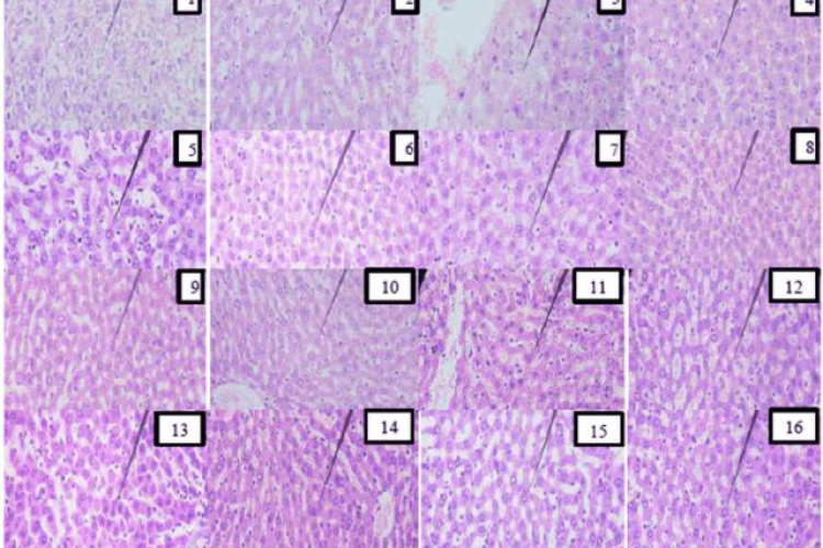
Preparat Jaringan otot cruris pewarnaan Hematoxylin Eosin dengan pembesaran mikroskop 4x. (1) Group only given daily intake; (2) Group given daily intake and 3 ml protein intake; (3) Group given daily intake and physical activity; (4) Group given daily intake, 3 ml protein intake and physical activity; (5) Group given daily intake, 4 ml protein intake and physical activity; (6) Group given daily intake, 5 ml protein intake and physical activity
The Effectiveness of Beltfish (Trichiurus lepturus) Protein Intake and Physical Activity on Muscle Mass Growth
Feb 2, 2026 - 10:48
Image of Dioscorea transversa leaf and tuber
Phytochemical Profile and Bioactivity of Dioscorea transversa R. Br: Antioxidant and Anti-Inflammatory Potential of Leaf and Tuber
Feb 2, 2026 - 12:10
More

Articles in images

Photomicrographs of erythrocyte morphology under different treatments at 60th minute reading, Mag.x40. The sickled shape of red cells is illustrated by a yellow arrow, and normal RBCs by a black arrow. (A) - The reversal effect of NS on SS-RBC morphology. (B) - The reversal effect of PABA on SS-RBC morphology. (C) - The reversal effect of JCL 20 mg/mL on SS-RBC morphology. (D) - The reversal effect of JCS 20 mg/mL on SS-RBC morphology.
Efficacy of Standardized Withania Somnifera as Neuro Agent in Tension-Type Headache: A Comparative Trial of Data in Transit
Terminalia chebula (Crude drug)
Morphological changes in MCF-7 cells. A: Non-cytotoxic MCF-7 cells (control). B: MCF-7 cells treated with methanolic G. elegans twig extract at 25 μg/mL showing significant cell death and morphological alterations
Tentative mass spectrum of the HydrotanshinoneⅡA compound, as detected in Negative ESI mode.
Photo documentation of crude and powdered herb Zingiber officinale
Figure represents the Group 1& 2:AS group- dentate gyrus (150 x 150 sq μm2 area), the Cornu ammonis (300 sq μm length area - CA 1 to CA4) parts of the hippocampus, and Frontal Cortex ( 250 x 250 sq μm2 area FC) respectively
Preparation of structures for molecular docking; a) Preparation of target protein, b) Preparation of ligand
Body weight measurements of rats administered the polyherbal formulation. *Data is presented as the mean ± SEM
Molecular docking interaction profile of berberine with insulin signalling targets. Left panels represent 2D interaction maps indicating the nature and distance of key intermolecular contacts, while right panels depict 3D docking poses of berberine within the respective binding sites. Colour codes: green – van der Waals and hydrogen bonds; pink – π–π stacking/π–alkyl interactions
Chronic stress induced memory loss mice Figure
GC-MS chromatogram of Celtis timorensis bark extract
More

Recent Publications

  • Evaluation of Phytochemical, Antioxidant, Anti-sickling, and Membrane Stabilization Properties of Justicia carnea Leaves and Stems Extracts
  • Efficacy of Standardized Withania Somnifera as Neuro Agent in Tension-Type Headache: A Comparative Trial of Data in Transit
  • Comprehensive Quality Evaluation: Flow Characteristics, Microscopy and Phytochemical Screening of Terminalia chebula
  • Free Radical Scavenging and Anticancer Activities of Methanolic Twig Extract of Annonaceae Plant
Subscribe to Recent PublicationsMore...

Tags

(+) Catechin.
(3-(4
(5)Y Zirconia. Tensile bond strength
0Cisplatin
1
1-Benzyl-1H-benzimidazole 3-oxide
1-H NMR
10.5530/pj.2021.13.208
10.5530/pj.2024.16.110
10.5530/pj.2024.16.140
13 C NMR
13-hydroxy methyl ester
13C NMR
14-methyl-
1H-NMR
1’s’-1’- Acetoxychavicolacetate
2
2-diphenyl-1-picrylhydrazyl
20-hydroxyecdysone
21-hydroxylase
24-Acetonideclethric acid
2D-and 3D-chemical structures
3
3-(4
3-Alkylphenols
3-Hidroxypropil mercapturic acid
304 stainless-steel
3CLpro receptor
3D treatment
3D-database of chemical structures
3T3-L1 adipocytes
3T3-L1cell lines
3’dimethylellagic acid
4 diphenyltetrazolium bromide assay
4 Napthelenedione
4-Di-tert-butylphenol
4-dinitrophenylhydrazine
4-hydroxy-3-methoxy benzoic acid
4-Hydroxybenzoic acid
4´-dihydroxy-7-(γ
5
5 Lipoxygenase
5-diglucoside
5-dimethylthiazol-2-yl)-2
5-dimethylthiazol-2yl)-2
5-diphenyltetrazolium bromide); virucidal.
5-O-acylpinostrobin
5˚C Cooling Process
5”DI
6MWD
More

Submit your Next Article

  • Online submission
  • Highly indexed and abstracted
  • 17 years of successful publishing
  • Wider visibility though open access
  • Higher impact with wider visibility
  • Prompt review

Submit your next article to Phcog J

and be a part of many successful authors.
Create free account  / Login

About

Pharmacognosy Journal (Phcog J.) covers different topics in natural product drug discovery, and also publishes manuscripts that describe pharmacognostic investigations, evaluation reports, methods, techniques and applications of all forms of medicinal plant research
Distinctions:  The most widely read, cited, and known Pharmacognosy journal and website is well browsed with all the articles published. More than 50,000 readers in nearly every country in the world each month
ISSN : 0975-3575 ; Frequency : Rapid at a time publication (6 issues/year)
Indexed and Abstracted in : SCOPUS, Scimago Journal Ranking, Chemical Abstracts, Excerpta Medica / EMBASE, Google Scholar, CABI Full Text, Index Copernicus, Ulrich’s International Periodical Directory, ProQuest, Journalseek & Genamics, PhcogBase, EBSCOHost, Academic Search Complete, Open J-Gate, SciACCESS.
Rapid publication: Average time from submission to first decision is 30 days and from acceptance to In Press online  publication is 45 days.
Open Access Journal: Pharmacognosy Journal is an open access journal, which allows authors to fund their article to be open access from publication. 

 

Submit your Next Article

  • Online submission
  • Highly indexed and abstracted
  • 10 years of successful publishing
  • Wider visibility though open access
  • Higher impact with wider visibility
  • Prompt review

Submit your next article to Phcog J

and be a part of many successful authors.
Create free account  / Login

Copyright © 2026 Pharmacogn J. All rights reserved.

Pharmacognosy Journal and its contents are licensed under a Creative Commons Attribution-Non Commercial-No Derivs 4.0 License. Permissions beyond the scope of this license may be available with  editor@phcogj.com

  • Home
  • Advertise with us
  • Privacy Statement