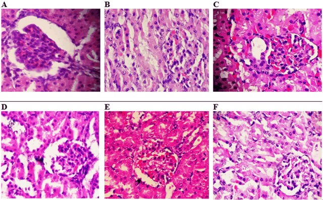
ArticleViewAbstractPharmacognosy Journal,2025,17,6,275-283.DOI:10.5530/pj.2025.17.97Published:December 2025Type:Original ArticleTherapeutic Effects of Combined Zinc and α-Tocopherol Administration in a Rat Model of Staphylococcus aureus-Induced SepsisOlivia Des Vinca Albahana Napitupulu, Gusbakti Rusip, and Maya Sari Mutia Olivia Des Vinca Albahana Napitupulu1, Gusbakti Rusip2*, Maya Sari Mutia3 1Doctoral Program, Faculty of Medicine, Universitas Prima Indonesia, Medan, INDONESIA 2Department of Family Medicine, Faculty of Medicine, Universitas Prima Indonesia, Medan, INDONESIA 3Deparment of Histology, Faculty of Medicine, Universitas Prima Indonesia, Medan, INDONESIA Abstract:Sepsis induces systemic inflammation through excessive production of proinflammatory cytokines, leading to oxidative stress, tissue damage, and multiorgan dysfunction. This study aimed to evaluate the synergistic effects of combined zinc and vitamin E (α-tocopherol) supplementation on inflammatory and biochemical parameters in Staphylococcus aureus-induced sepsis in male Wistar rats. Thirty rats were divided into six groups: (1) normal control, (2) Placebo control (sepsis without therapy), (3) positive control (levofloxacin 45 mg/kg BW + zinc 0.9 mg/kg BW + vitamin E 250 mg/kg BW), and (4–6) treatment groups receiving combined zinc (0.9, 1.8, and 2.7 mg/kg BW) with vitamin E (250 mg/kg BW). Sepsis was induced intraperitoneally, followed by treatment according to group. On day 9, serum levels of TNF-α, IL-6, CRP, AST, ALT, urea, creatinine, and albumin were analyzed, while lung and kidney, were examined histologically. The combination of zinc and vitamin E significantly decreased TNF-α, IL-6, and CRP levels while improving biochemical parameters and increasing serum albumin compared to the untreated group (p ≤ 0.05). The highest efficacy was observed with zinc 2.7 mg/kg BW and vitamin E 250 mg/kg BW, which showed over 50% reduction in tissue damage, reduced inflammatory cell infiltration and interstitial hemorrhage in lung tissue, and improved hepatic cellular regeneration. These findings suggest that zinc and vitamin E exert synergistic anti-inflammatory and antioxidative effects, indicating their potential as adjuvant therapy in sepsis management. Keywords:CRP, Histopathology, IL-6, Oxidative stress, Sepsis, Staphylococcus aureus, TNF-α, Vitamin E, zincView:PDF (356.89 KB) PDF Images Histological Evaluation of Kidney Tissue. A) Group 1; B) Group 2; C) Group 3; D) Group 4; E) Group 5; F) Group 6. ‹ A Study on Arsenic and Arsenic-Containing Mineral Medicines Referenced in Ancient Books of Traditional Mongolian Medicine up Cytotoxic Effects of Imperata cylindrica Root Ethanol Extract on the Expression of PKCα, STAT3, and mTOR in A549 Lung Cancer Cell Line ›