Skip to main content
  • Home
  • About Journal
    • Aim and Scope
    • Editorial Policy
    • Peer Review Process
    • Bibliographic Listings
  • Editorial Board
  • For Authors
    • Information for Authors
    • Article Submission and Charges
    • Submit Article
    • Downloads
  • Contact Us
Pharmacognosy Journal
An Open Access, Peer Reviewed Journal in the field of
Pharmacognosy

Search form

Pharmacognosy Journal
  • Articles In Press
  • Current Issue
  • Archives
  • RSS Feeds
  • Submit Article
Home / Sepsis

Sepsis

latest

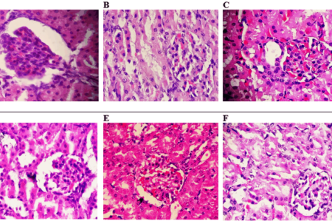
Histological Evaluation of Kidney Tissue. A) Group 1; B) Group 2; C) Group 3; D) Group 4; E) Group 5; F) Group 6.

Therapeutic Effects of Combined Zinc and α-Tocopherol Administration in a Rat Model of Staphylococcus aureus-Induced Sepsis

3 months 2 weeks ago By sys1 [comment_count]
Read more
Graphical Abstract

Multi Bacterial Infection in Immunocompromised Patient

3 years 8 months ago By sys1 [comment_count]
Read more

Submit your Next Article

  • Online submission
  • Highly indexed and abstracted
  • 17 years of successful publishing
  • Wider visibility though open access
  • Higher impact with wider visibility
  • Prompt review

Submit your next article to Phcog J

and be a part of many successful authors.
Create free account  / Login

About

Pharmacognosy Journal (Phcog J.) covers different topics in natural product drug discovery, and also publishes manuscripts that describe pharmacognostic investigations, evaluation reports, methods, techniques and applications of all forms of medicinal plant research
Distinctions:  The most widely read, cited, and known Pharmacognosy journal and website is well browsed with all the articles published. More than 50,000 readers in nearly every country in the world each month
ISSN : 0975-3575 ; Frequency : Rapid at a time publication (6 issues/year)
Indexed and Abstracted in : SCOPUS, Scimago Journal Ranking, Chemical Abstracts, Excerpta Medica / EMBASE, Google Scholar, CABI Full Text, Index Copernicus, Ulrich’s International Periodical Directory, ProQuest, Journalseek & Genamics, PhcogBase, EBSCOHost, Academic Search Complete, Open J-Gate, SciACCESS.
Rapid publication: Average time from submission to first decision is 30 days and from acceptance to In Press online  publication is 45 days.
Open Access Journal: Pharmacognosy Journal is an open access journal, which allows authors to fund their article to be open access from publication. 

 

Submit your Next Article

  • Online submission
  • Highly indexed and abstracted
  • 10 years of successful publishing
  • Wider visibility though open access
  • Higher impact with wider visibility
  • Prompt review

Submit your next article to Phcog J

and be a part of many successful authors.
Create free account  / Login

Copyright © 2026 Pharmacogn J. All rights reserved.

Pharmacognosy Journal and its contents are licensed under a Creative Commons Attribution-Non Commercial-No Derivs 4.0 License. Permissions beyond the scope of this license may be available with  editor@phcogj.com

  • Home
  • Advertise with us
  • Privacy Statement