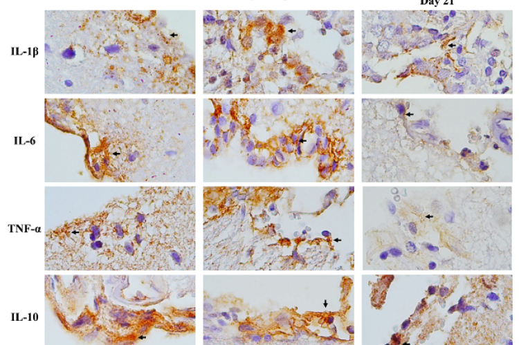
ArticleViewAbstractPharmacognosy Journal,2024,16,1,20-27.DOI:10.5530/pj.2024.16.3Published:February 2024Type:Original ArticleEffects of Cerebrospinal Fluid Drainage on Pro-Inflammatory and Anti-Inflammatory Cytokines Expression in the Subventricular Zone of Kaolin-Induced Hydrocephalic RatsMuhammad Arifin Parenrengi, Ahmad Data Dariansyah, Wihasto Suryaningtyas, Dyah Fauziah, I Ketut Sudiana, Budi Utomo, and Prastiya Indra Gunawan Muhammad Arifin Parenrengi1,*, Ahmad Data Dariansyah1, Wihasto Suryaningtyas1, Dyah Fauziah2, I Ketut Sudiana2, Budi Utomo3, Prastiya Indra Gunawan4 1Department of Neurosurgery, Faculty of Medicine, Universitas Airlangga - Dr. Soetomo General Academic Hospital, Surabaya, INDONESIA. 2Department of Anatomical Pathology, Faculty of Medicine, Universitas Airlangga, Surabaya, INDONESIA. 3Department of Public Health and Preventive Medicine, Faculty of Medicine, Universitas Airlangga, Surabaya, INDONESIA. 4Department of Child Health, Faculty of Medicine, Universitas Airlangga, Surabaya, INDONESIA. Abstract:Background: To determine the neuroprotective effect of CSF drainage by analyzing its impact on the expression and the ratio of pro- and anti-inflammatory cytokines in the subventricular zone in kaolininduced hydrocephalic rats. Method: Sprague-Dawley rats of 23 weeks of age (n=36) were used in this study. The rats were randomly divided into normal control, hydrocephalus, and CSF drainage-treated groups. Hydrocephalus was obtained by injecting 0,05 cc of 20% kaolin suspension into the cisterna magna. The CSF drainage-treated group had ventricular tapping seven days after kaolin induction. The rats were sacrificed 7, 14, or 21 days after kaolin induction. The brain was removed and prepared for immunohistochemistry analysis to detect IL-1β, IL-6, TNF-α, and IL-10 cytokines expression. Results: Immunohistochemistry analysis revealed that the expression of pro-inflammatory cytokines was significantly increased in hydrocephalus groups than in the control group. In contrast, the expression of anti-inflammatory cytokine was significantly decreased. CSF drainage had a neuroprotective effect by reducing pro-inflammatory cytokine expression and increasing anti-inflammatory cytokine expression. In the hydrocephalus group, the ratios of IL-1β/IL-10, IL-6/IL-10, and TNF-α/IL-10 increased toward a pro-inflammatory status. After CSF drainage, the ratios of IL-1β/IL-10, IL-6/IL-10, and TNF-α/IL-10 shifted toward an anti-inflammatory status. Conclusion: CSF drainage protects the brain from excessive neuroinflammatory processes in kaolin-induced hydrocephalic rats. Additional investigation is warranted to ascertain the use of inflammatory cytokines expression as a valuable biomarker for hydrocephalus. Furthermore, research on anti-inflammatory drug administration in clinical settings is required. Keywords:cerebrospinal fluid drainage, Cytokines, Kaolin-induced hydrocephalus, Neuroinflammation, Neuroprotective, subventricular zoneView:PDF (3.31 MB) PDF Images The representative images of IL-1β, IL-6, TNF-α, and IL-10 cytokines expression in subventricular zone. ‹ Androgenic Efficacy and Mechanism of Glycosides-Based Standardized Fenugreek Seeds Extract Through Aromatase And 5-Alpha Reductase Inhibition up Unlocking the Potential of Stingray (Dasyatis sephen) Extract: A Novel Investigation into EPA and DHA Effects on Lipid Metabolism in High-Fat Diet-Fed Wistar Rats ›