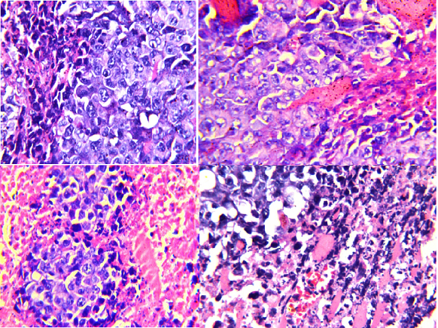
ArticleViewAbstractPharmacognosy Journal,2019,11,5,849-857.DOI:10.5530/pj.2019.11.137Published:September 2019Type:Original ArticlePhenolic Profile and In Vivo Cytotoxic Activity of Rice Straw ExtractMeselhy KM, Shams MM, Sherif NH, and El-Sonbaty SM Meselhy KM1,*, Shams MM2, Sherif NH3,4, El-Sonbaty SM5 1Department of Pharmacognosy, Faculty of Pharmacy, Cairo University, EGYPT. 2Department of Medicinal Plants and Natural Products, National Organization for Drug Control & Research (NODCAR), Giza, EGYPT. 3Drug Radiation Research Department, National Centre for Radiation Research and Technology (NCRRT), Atomic Energy Authority, Nasr City, EGYPT. 4Pharmacognosy Department, Faculty of Pharmacy, Nahda University, Beni Suef, EGYPT. 5Department of Radiation Microbiology, The National Center for Radiation Research and Technology (NCRRT), Atomic Energy Authority, Nasr City, EGYPT. Abstract:Background: Previous work of our team exhibited that rice straw (RS) has antitumor activity in vitro and inhibit proliferation of liver, lung, prostate, and breast cancer human cell lines. In this work, we extended our research to screen the antitumor activity of RS ethanol extract as a single treatment and in the presence of combined radiotherapy with a low dose of gamma radiation against murine Ehrlich solid carcinoma (EAC) model. Objective: To evaluate the most common waste in Egypt RS to screen out its in vivo cytotoxic activity and as combined therapy with radiotherapy. Method: Tested sample RS was investigated for its content of phenolics by LC/MS/MS, in addition, ethanolic extracts of the tested sample were investigated as antitumor on female mice inoculated with EAC cells as a single treatment and in the presence of combined radiotherapy with a low dose of gamma radiation (LDR). Results: LC/MS/MS revealed that rice straw was rich in phenolic acids (vanillic, p-coumaric, ferulic, and sinapic acid) along with catechin and flavonoids aglycones (quercetin, apigenin, and kaempferol). Rice straw and/or exposure to a low dose of γ-radiation caused a marked suppression of tumor growth and induced significant reduction in VEGF level & in IL-6 level with significant elevation in IL-10 serum level. Rice straw caused a significant down regulation in the gene transcription level of MCL1 and b-catenin, and a significant up-regulation of Caspase-3 and Bax gene expression. RS extract and LDR (EC + RS + R group) revealed that there was a mild form of necrosis with severe apoptosis in the tumor cells. Conclusion: From the aforementioned results, it can be concluded that RS/LDR effectively and synergistically work towards inhibition of cancer cell proliferation. These findings were well supported with histopathological studies suggesting that RS/low dose gamma radiation can serve as a good therapeutic agent against cancer but still need further clinical studies. Keywords:Cytotoxic, Histopathology, LC/MS/MS, Phenolics, Rice strawView:PDF (5.36 MB) PDF Images Photomicrographs of sections in solid Ehrlich carcinoma (EC) stained by H and E. (A): Section in muscular tissue of EC bearing mice; (B): Section in muscular tissue of EC treated with RS extract; (C): Section in muscular tissue of EC treated with gamma irradiation; (D): Section in muscular tissue of EC treated with RS extract and gamma irradiation, H and E, ×80. ‹ Pharmacogn J, Vol 11, Issue 5, Sep-Oct, 2019 up Protective Effect of the Ethanolic Extracts of Leaves of Chuquiraga spinosa Less and Baccharis genistelloides on Benign Prostatic Hyperplasia in Rats ›