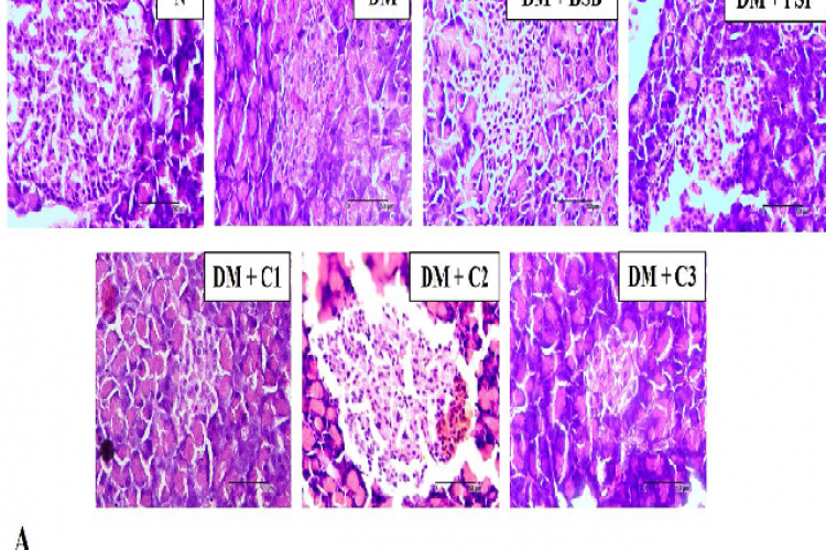
ArticleViewAbstractPharmacognosy Journal,2019,11,4,639-646.DOI:10.5530/pj.2019.11.102Published:July 2019Type:Original ArticleThe Evaluation of Dietary Black Soybean and Purple Sweet Potato on Insulin Sensitivity in Streptozotocin - Induced Diabetic RatsAbdul Gofur, Agung Witjoro, Erni Widya Ningtiyas, Evi Setyowati, Siti Aminatul Mukharromah, Mochammad Fitri Atho’illah, and Sri Rahayu Lestari Abdul Gofur1,*, Agung Witjoro1, Erni Widya Ningtiyas1, Evi Setyowati1, Siti Aminatul Mukharromah1, Mochammad Fitri Atho’illah2, Sri Rahayu Lestari1 1Department of Biology, Faculty of Mathematics and Natural Science, Universitas Negeri Malang, Jl. Semarang No. 5, Malang 65145, INDONESIA. 2Department of Biology, Faculty of Mathematics and Natural Science, Brawijaya University, Jl. Veteran, Malang 65145, INDONESIA. Abstract:Introduction: Hyperglycemia mediates the production of excess free radicals and reduces endogenous antioxidant in type 2 diabetes mellitus (T2DM). Black soybean (BSB) is rich in antioxidant mainly from isoflavones, whereas the antioxidant of purple sweet potato (PSP) comes from high anthocyanin. The study aimed to evaluate the efficacy of BSB, PSP, and its combination on malondialdehyde (MDA), superoxide dismutase (SOD) concentrations, insulin and insulin receptor substrate-1 (IRS-1) expression in T2DM rats. Methods: T2DM induced by high-calorie diet for five weeks and then injected with a low dose of streptozotocin (30 mg/kg BW) intraperitoneally. The DM rats then treated with black soybean (DM + BSB), purple sweet potato (DM + PSP) and the combination of BSB and PSP 1:3, 2:2, 3:1 respectively (DM + C1- 3). Treatments were given for thirty days. The effect of BSB, PSP and its combination evaluated by measuring SOD and MDA, necrosis in pancreas evaluated through hematoxylin-eosin (HE) and insulin and IRS-1 expression in pancreas through immunohistochemistry-fluorescence (IHC-F). Results: Our result indicated that there were no significant differences of BSB and the combination in decreasing MDA concentrations. The ratio of BSB and PSP combination of 2:2 increase SOD towards near normal, decrease necrosis, and improve insulin and IRS-1. Conclusion: The combination of BSB and PSP had the potential to improve insulin sensitivity through the increase of SOD, reduce necrosis, and improve insulin and IRS-1 expression. Keywords:Antioxidant, Malondialdehyde, Necrosis, Superoxide dismutase, T2DMView:PDF (1.7 MB) PDF Images Treatments with BSB, PSP and the combination of both were able to decrease necrosis in T2DM-model rats ‹ Antiosteoporosis Effects of 70% Ethanolic Extract Combination of Dayak Onion Bulbs (Eleutherine bulbosa (Mill.) Urb) and Cowpea (Vigna unguiculata (L.) Walp.) on the Hypoestrogen Rats up Ethnobotanical Survey of the Medicinal Plants used in the Southern Mediterranean. Case Study: The Region of Bissa (Northeastern Dahra Mountains, Algeria) ›