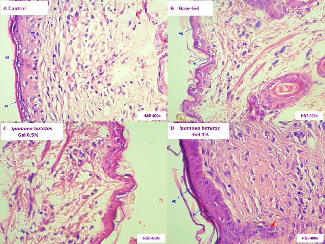
ArticleViewAbstractPharmacognosy Journal,2021,13,6s,1720-1726.DOI:10.5530/pj.2021.13.222Published:December 2021Type:Research ArticleEffect of a Gel Based on Ipomoea batatas (Purple Sweet Potato) on Dermal Wound Healing in MiceCarmen R. Silva-Correa, Cristel M. Ortiz-Noriega, Víctor E. Villarreal-La Torre, Abhel A. Calderón-Peña, Cinthya L. Aspajo-Villalaz, Luz M. Guerrero-Espino, William A. Sagástegui-Guarniz, Anabel D. González- Siccha, María V. González-Blas, José L. Cruzado-Razco, Jorge Del Rosario-Chávarri, Patricia Contreras- Vera, and Julio Hilario-Vargas Carmen R. Silva-Correa1,*, Cristel M. Ortiz-Noriega1, Víctor E. Villarreal- La Torre1, Abhel A. Calderón-Peña2, Cinthya L. Aspajo-Villalaz2, Luz M. Guerrero-Espino3, William A. Sagástegui-Guarniz1, Anabel D. González-Siccha1, María V. González-Blas1, José L. Cruzado- Razco1, Jorge Del Rosario- Chávarri2, Patricia Contreras-Vera4, Julio Hilario-Vargas3 1Facultad de Farmacia y Bioquímica, Universidad Nacional de Trujillo, PERÚ. 2Facultad de Ciencias Biológicas, Universidad Nacional de Trujillo, PERÚ. 3Facultad de Medicina, Universidad Nacional de Trujillo, PERÚ. 4Hospital Víctor Lazarte Echegaray, Trujillo, PERÚ. Abstract:Background: Ipomoea batatas (L.) Lam. (I. batatas) is a root native from South America that is characterized by its antioxidant, antimicrobial and anti-inflammatory properties. These properties contribute to the wound healing process. Objective: To evaluate the healing activity of a gel based on I. batatas on dermal wound healing in mice. Material and methods: An acid ethanolic extract (1.5 N hydrochloric acid: Ethanol 96 ° 15:85, v / v) was prepared with the peels of the roots of I. batatas "purple sweet potato", which was incorporated into the formulations 0.5% and 1% gel. Mus musculus Balb / c with induced injury were distributed in four experimental groups: Group I (Control), which did not receive any treatment. Group II (Gel base), Group III (Gel I. batatas 0.5%) and Group IV (Gel I. batatas 1%) received the daily administration of topical treatments for 14 days. Wound closure was determined during the experimentation time, then they were euthanized with sodium pentobarbital 60 mg / kg / pc v.ip. to obtain skin samples for histopathological analysis. Results: Group IV shows a higher percentage of wound closure, which is also evidenced in histopathological changes. Conclusions: The 1% gel based on the ethanolic extract of the peels of the roots of Ipomoea batatas (L.) Lam. they show healing activity in wounds induced in mice, being the most effective treatment. Keywords:Histology, Ipomoea batatas, Skin., Wound HealingView:PDF (5.04 MB) PDF Images Histopathological sections of the skin of Mus musculus Balb / c. A. Group I (Control). B. Group II. (Base Gel). C. Group III (Gel I. batatas 0.5%). D. Group IV (Gel I. batatas 1%). Keratinous stratum corneum (ec), stratum granulosa (eg), stratum spinosum (ee), basal cells (eb) dermal papillae (arrow), fibroblasts (*), sweat glands (gs), eschar (s). (Hematoxylin and Eosin stained, 400X). ‹ In silico Study on the Promising Active Components of Terpenoid and Fucoidon from Sargassum sp. in Inhibiting CGRP and TNF-α up Effect of a Gel Based on Ipomoea batatas (Purple Sweet Potato) on Dermal Wound Healing in Mice ›