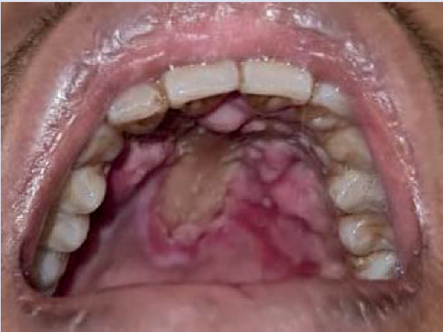
ArticleViewAbstractPharmacognosy Journal,2024,16,5,1143-1149.DOI:10.5530/pj.2024.16.187Published:October 2024Type:Research ArticleAtypical Manifestation of Oral Candidiasis in Patient with Aplastic AnemiaPraf Nahlalogi, and Bramantono Praf Nahlalogi1,2, Bramantono1,2,3* 1Department of Internal Medicine, Dr. Soetomo General Academic Hospital, Surabaya, INDONESIA. 2Department of Internal Medicine, Faculty of Medicine, Universitas Airlangga, Surabaya, INDONESIA. 3Division of Tropical and Infectious Disease, Department of Internal Medicine, Dr. Soetomo General Academic Hospital, Surabaya, INDONESIA. Abstract:Candidiasis is an opportunistic fungal infection predominantly caused by Candida species, which can manifest in immunocompromised individuals such as those with aplastic anemia. Aplastic anemia, characterized by bone marrow failure, significantly increases susceptibility to infections, with fungal infections being a leading cause of mortality. Oral candidiasis is one of the most common manifestations, and it typically presents as white pseudomembranes. However, atypical presentations can occur. We report a case of a 26-year-old male with aplastic anemia who presented with general weakness, fever, and painful swallowing. On examination, a blackish plaque was observed on his palate. Laboratory tests, including palatal tissue smear, histological examination, and culture, confirmed an infection of Candida tropicalis. This unusual blackish manifestation of oral candidiasis, resembling mucormycosis, has not been previously described in the literature. The patient was treated with intravenous fluconazole, leading to complete resolution of the oral lesions within 11 days. Through this case, we underscore the importance of recognizing atypical presentations of common infections, particularly in immunocompromised patients, and highlight the need for thorough diagnostic evaluation to guide appropriate antifungal therapy. Keywords:Aplastic anemia, Atypical presentation, Black oral thrush, Candida tropicalis, Oral candidiasisView:PDF (891.31 KB) PDF Images Clinical resolution after 11 days of fluconazole injection ‹ Clinicopathological Analysis of Mucinous Ovarian Tumors at a Single Center in Indonesia, 2019-2023 up Exploration of Adolescent Knowledge Experiences and Efforts to Identify Interventions on the Use of Digital Technology Information Media to Increase Knowledge related to HIV/AIDS Prevention ›